Pediatric Orthopedics | Dr. Vikas Sharma

When it comes to children, their bones, joints, and muscles are not just smaller versions of adults—they are still growing, developing, and chang...
Read More about Pediatric Orthopedics | Dr. Vikas Sharma

Spine Surgery in Palam Vihar, Gurugram

Back and neck pain are among the most common complaints in today’s fast-paced lifestyle. While many spinal issues can be managed with conservativ...
Read More about Spine Surgery in Palam Vihar, Gurugram

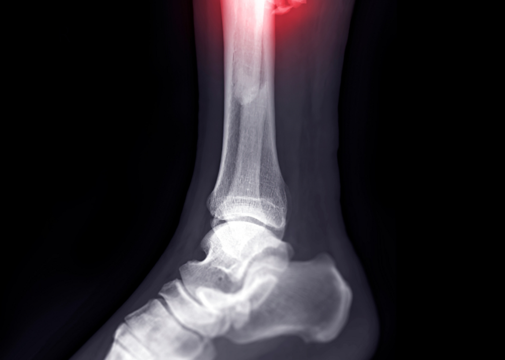
Fracture Management in Palam Vihar, Gurugram

Fractures, or broken bones, are among the most common orthopedic injuries affecting people of all ages. Whether caused by trauma, falls, sports inj...
Read More about Fracture Management in Palam Vihar, Gurugram

Joint Replacement Surgery | Dr. Vikas Sharma

Living with joint pain can drastically affect your quality of life. Whether it’s difficulty walking, climbing stairs, or even performing daily ta...
Read More about Joint Replacement Surgery | Dr. Vikas Sharma

Arthroscopy | Dr. Vikas Sharma

Joint pain can severely affect your mobility, lifestyle, and overall quality of life. Whether it’s a sports injury, age-related degeneration,...
Read More about Arthroscopy | Dr. Vikas Sharma
image

Foot health

These top 10 tips on how to take care of your feet include advice on preventing and treating foot problems.
Read More about Foot health
image

Healthy bones

Cases of weak bones (osteoporosis) and life-changing fractures from falls are on the increase. Find out what you can do to keep your bones fit for purpose whatever your age.
Read More about Healthy bones
image

Back pain

Find out how everyday standing and sitting habits can cause back pain and other ailments.
Read More about Back pain
image

Trigger finger

Trigger finger is a condition that affects the tendons in the hand. When the affected finger or thumb is bent towards the palm, the tendon gets stuck and the finger clicks or locks. It's also known as stenosing tenosynovitis or stenosing tenovaginosis.
Read More about Trigger finger
image

Traction

Traction is the use of weights, ropes and pulleys to apply force to tissues surrounding a broken bone. It's sometimes used to keep a broken leg in the correct position during the early stages of healing, or to ease the pain of a fracture while a person is waiting for surgery.
Read More about Traction
image

Tendonitis and other tendon injuries

Tendons are strong bands or cords of tissue that attach muscle to bone. They help move the bones and joints when muscles contract. The main types of tendon injury are: tendonitis – inflammation of a tendon
Read More about Tendonitis and other tendon injuries
image

Scoliosis

Scoliosis is the abnormal twisting and curvature of the spine. It is usually first noticed by a change in appearance of the back.
Read More about Scoliosis
?
Ask Question
AboutMyClinic
SmartSite created on AboutMyClinic.com
Site-Help | Disclaimer
Disclaimer: The information provided here should not be used during any medical emergency or for the diagnosis or treatment of any medical condition. The information is provided solely for educational purpose and should not be considered a substitute for medical advice.